全部技术服务分类
跨膜蛋白表达
我们专注于为客户提供跨膜蛋白表达与纯化专业服务,助力药物靶点研究与新药开发。跨膜蛋白作为关键整合膜蛋白,占膜蛋白总量70%–80%,其结构兼具亲水与疏水区域,通过跨膜域嵌入脂双层,参与分子转运、信号转导及能量代谢等重要生理过程,是超过60%已知药物的作用靶点。该类蛋白依赖膜环境维持结构与功能,且跨膜次数多、疏水区域大,表达难度极高,获得结构完整和活性稳定的跨膜蛋白一直是体外制备的核心挑战。我们依托大肠杆菌、哺乳动物细胞及杆状病毒-昆虫细胞等多种表达系统,显著提升蛋白可溶性表达与正确折叠效率,已成功表达并纯化GLUT1、GLYT1、α4 nicotinic receptor、β2 nicotinic receptor、ActRIIB、ActRIIA、CYP、CPR、GPNMB、FTSL、DHHC3、SREBP2、ABCG1、TET8等多个高难度靶点蛋白,提供从基因构建到高质量蛋白交付的一站式解决方案。
服务优势

经项目验证的成熟经验

多平台协同表达体系

攻克难表达靶点能力突出

一站式交付
服务流程

密码子优化及基因合成

表达载体构建

蛋白小试表达

蛋白表达鉴定

蛋白生产表达

蛋白纯化鉴定

质控检测

冷链发货
服务内容
|
实验阶段 |
实验内容 |
交付内容 |
交付标准 |
周期 |
|
基因合成与克隆 |
密码子优化和基因合成 克隆至高效表达载体 质粒测序 质粒制备 |
测序报告(若客户要求) |
序列一致 |
2-3周 |
|
小量表达及纯化(30mL) |
瞬时转染 QC分析(A280、SDS-PAGE等) |
表达鉴定报告 表达质粒或菌株(若客户要求) |
/ |
2-3周 |
|
放大表达和纯化(1L) |
蛋白放大表达 纯化(1-2步亲和纯化) QC分析(A280、SDS-PAGE等) |
纯化蛋白样品 质量检验报告(CoA) |
蛋白量(0.1-1mg) 蛋白纯度85%-90 % 浓度>1mg/mL |
3-4周 |
案例展示

蛋白信息

载体构建

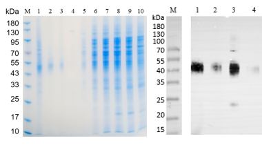
表达纯化:三步法

蛋白信息

载体构建

表达纯化:两步法
联系我们

如您有任何问题,请联系我们