全部技术服务分类
免疫学检测服务
免疫技术服务是基于抗原-抗体特异性结合原理的一系列核心实验方法的统称,构成了现代生命科学研究与生物医药开发的基石。我们构建了覆盖蛋白质定位、定量、互作及功能研究的全链条、一站式技术解决方案。平台整合了免疫组化(IHC)、免疫细胞化学(ICC)、免疫荧光(IF)、Western Blot(WB)、Co-IP、ChIP-IP、ELISA、流式细胞术(FCM)等经典技术,以及Pull-down、BIL等前沿的核酸-蛋白互作研究技术。凭借专业的技术团队、标准化的操作流程和严格的质量控制体系,我们致力于为您的基础科研、靶点验证、抗体药物筛选及临床诊断转化提供精准、高效、可靠的数据支撑,加速研发进程。
服务优势

全面技术覆盖

专业质控体系

专家团队支持

高效交付保障
服务流程

项目咨询

方案设计

样本处理

实验操作

质控检测

数据分析

报告交付
服务内容
|
技术平台 |
客户提供 |
交付内容 |
周期 |
|
WB/ELISA/Co-IP |
样本、抗体、阳性对照 |
原始数据+报告 |
3–5天/1–2周 |
|
ChIP-IP |
细胞/组织样本、抗体 |
qPCR结果+报告 |
2–6周 |
|
IHC/IF/ICC |
组织/细胞样本、抗体 |
染色图像+报告 |
1–2周 |
|
FCM |
细胞/血液样本、流式抗体 |
流式数据+报告 |
1–2周 |
|
Pull-down/BLI |
高纯度蛋白、互作信息 |
结合曲线+报告 |
1–3周 |
案例展示


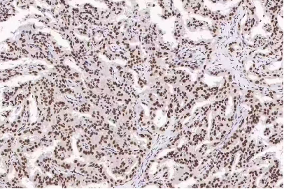
抗体在肿瘤组织中显示出明确的特异性染色信号,定位清晰。

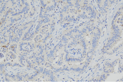
在腺上皮组织中可见目标蛋白的阳性表达,染色分布具有组织特异性。
联系我们

如您有任何问题,请联系我们